
泌尿器科主任部長 金哲將
泌尿器科は副腎、尿路(腎・尿管・膀胱・尿道)、男性生殖器(前立腺・精巣・精巣上体)を扱う科です。種々の検査から薬物治療・手術まで内科的側面と外科的側面を併せ持っています。超高齢化社会の到来とともに、一生涯のうち70%以上の方が、何らかの形で泌尿器科専門医の診療を受けると言われています。当科では、病気を治療することは当然として、患者さんのQOLにも配慮しながら診療を行うように心がけております。
現在常勤医師4人で日常診療を行っています。手術日は月・水・金曜日です。外来は、月から金曜日まで通常診療として受け付けておりますが、水曜日は大きな手術を予定することが多く、外来受付は10時までに制限しています。当科は、甲賀医療圏で唯一の入院受け入れが可能な泌尿器科施設です。
手術支援ロボット『hinotori』

| 主な手術の件数 | 2019 | 2020 | 2021 | 2022 | 2023 | 2024 |
|---|---|---|---|---|---|---|
| 腹腔鏡下副腎摘除術 | 1 | 2 | 0 | 1 | 1 | 2 |
| 後腹膜鏡下腎摘除術(全摘除) | 11 | 6 | 11 | 6 | 7 | 8 |
| 腹腔鏡下腎摘除術(部分摘除) | 1 | 1 | 6 | 0 | 1 | 0 |
| 後腹膜鏡補助下腎尿管全摘除術 | 10 | 6 | 4 | 6 | 5 | 8 |
| 開腹根治的腎摘除術 | 1 | 0 | 0 | 0 | 0 | 0 |
| ロボット支援下根治的前立腺全摘除術 | 0 | 0 | 0 | 0 | 0 | 22 |
| 根治的膀胱全摘除術(開腹) | 1 | 0 | 0 | 0 | 0 | 0 |
| 根治的膀胱全摘除術(腹腔鏡手術) | 1 | 2 | 3 | 2 | 3 | 0 |
| 経尿道的前立腺切除術 | 17 | 24 | 15 | 26 | 18 | 8 |
| 経尿道的膀胱腫瘍切除術 | 71 | 100 | 113 | 75 | 50 | 76 |
| 経尿道的尿管結石砕石術 | 33 | 43 | 38 | 25 | 32 | 25 |
| 経尿道的膀胱結石砕石術 | 8 | 12 | 11 | 15 | 13 | 8 |
| 高位精巣摘除術 | 3 | 3 | 1 | 1 | 4 | 2 |
| 陰嚢水腫手術 | 8 | 2 | 4 | 7 | 6 | 5 |
| 包茎手術 | 4 | 8 | 7 | 6 | 5 | 7 |
| 内シャント造設術 | 21 | 19 | 28 | 20 | 20 | 8 |
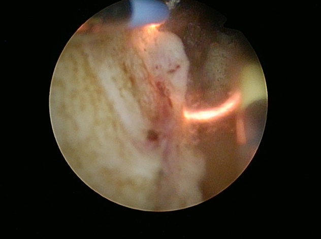
前立腺切除前

前立腺切除後

実際の切除中のループ

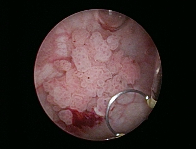
膀胱癌の内視鏡所見(切除に使用するループも観察できる。)

金 哲將
役職
泌尿器科主任部長、がん診療部長
卒業年
1986年
専門分野
腹腔鏡手術、膀胱癌の診断・治療、前立腺肥大症の診断・治療
資格(認定医、専門医、指導医など)
日本泌尿器科学会専門医
日本泌尿器科学会指導医
泌尿器腹腔鏡技術認定医
日本がん治療認定医機構がん治療認定医
滋賀医科大学泌尿器科学講座非常勤講師
医学博士
日本泌尿器内視鏡・ロボティクス学会代議員
hinotori cockpit surgeon 認定
花田 英紀
役職
泌尿器科 部長
卒業年
2002年
専門分野
腹腔鏡下手術、泌尿器癌治療
資格(認定医、専門医、指導医など)
日本泌尿器科学会専門医
日本泌尿器科学会指導医
泌尿器腹腔鏡技術認定医
日本がん治療認定医機構がん治療認定医
医学博士
hinotori cockpit surgeon 認定
伊原 俊之
役職
泌尿器科医員
卒業年
2021年
専門分野
泌尿器科一般
松林 弘樹
役職
泌尿器科医員
卒業年
2022年
専門分野
泌尿器科一般
| 月 | 火 | 水 | 木 | 金 | |
|---|---|---|---|---|---|
| 午前 | 伊原 松林 |
花田 金 伊原 |
手術日のため 交替制※ |
花田 金 松林 |
手術日のため 交替制 |
※水曜日の受付時間は10時00分までです。
DEPARTMENT
診療科・部門のご案内
診療科
専門外来
部門
よくご覧いただくページ
